Những điều cần biết trước chỉnh nha – niềng răng
1. Chỉnh nha ngày nay không giới hạn tuổi tác! Khi nhắc đến chỉnh nha – niềng răng, nhiều người...
[Giải đáp] Nuốt mắc cài niềng răng có sao không?
Nuốt mắc cài niềng răng thường không gây ra vấn đề nghiêm trọng cho sức...
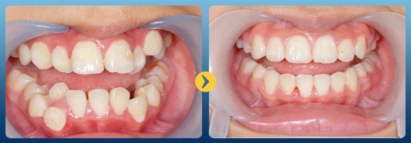
Những điều cần biết trước khi điều trị chỉnh nha – niềng răng
Hiện nay, khi có ý định thực hiện niềng răng, nhiều người vẫn còn thắc...
