- 0+
năm kinh nghiệm - 0+
khách hàng - 0+
bác sĩ - 0+
chi nhánh
- Công nghệ hiện đại
- Chứng nhận quốc tế
- Đội ngũ quốc tế
- Dịch vụ 5 sao
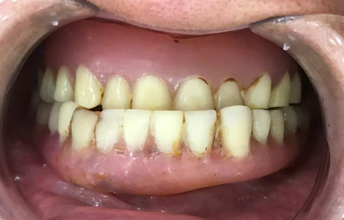
Nha khoa Việt Mỹ cung cấp các dịch vụ nha khoa chuyên sâu
Nha khoa Việt Mỹ luôn đảm bảo về chất lượng
Nha khoa Việt Mỹ với đội ngũ bác sĩ dày dặn kinh nghiệm
Tự tin là Nha Khoa được người dùng tin tưởng
Tự tin là Nha Khoa được người dùng tin tưởng với

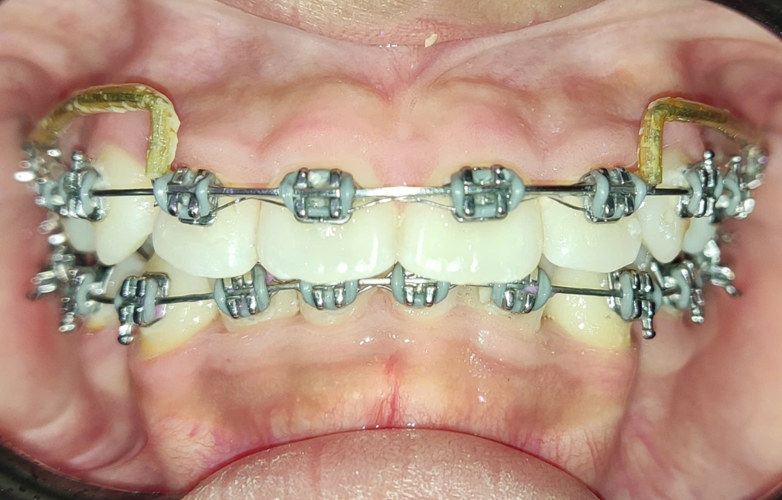
Đầu tư hệ thống máy móc hiện đại, đạt chuẩn quốc tế, hỗ trợ chẩn đoán và điều trị chính xác.
Không gian sạch sẽ, tiện nghi, đảm bảo quy trình vô trùng và an toàn cho khách hàng.
Luôn luôn ứng dụng các công nghệ mới trong y khoa để nâng cao chất lượng khám chữa bệnh.
Được đào tạo bài bản tại các trường đại học y khoa hàng đầu và có chứng chỉ quốc tế
Trung bình 10+ năm kinh nghiệm, đã điều trị thành công hàng nghìn ca bệnh
Thường xuyên tham gia các khóa đào tạo và hội thảo khoa học trong nước và quốc tế
Hệ thống nha khoa Việt Nam đem đến kết quả tối ưu trong điều trị vinh dự được đông đảo đơn vị báo chí quan tâm
Hệ thống nha khoa Việt Mỹ cung cấp kiến thức quan trọng